Ureteric stricture is a condition where the ureter (the tube connecting the kidney to the bladder) becomes narrowed, leading to obstruction in urine flow. This can result in pain, kidney swelling (hydronephrosis), and potential complications if left untreated. At Kahalekar Urology Care, Nanded, we provide a safe and effective Ayurvedic treatment approach to manage ureteric stricture naturally—without the need for surgery.
Ureteric stricture occurs due to narrowing or scarring of the ureter, which restricts the normal flow of urine from the kidney to the bladder. It may develop due to:
Avoid invasive procedures like stenting or surgery
Supports smooth drainage from kidney to bladder
Targets the root cause
Prevents long-term damage
We follow a holistic and patient-centered approach:
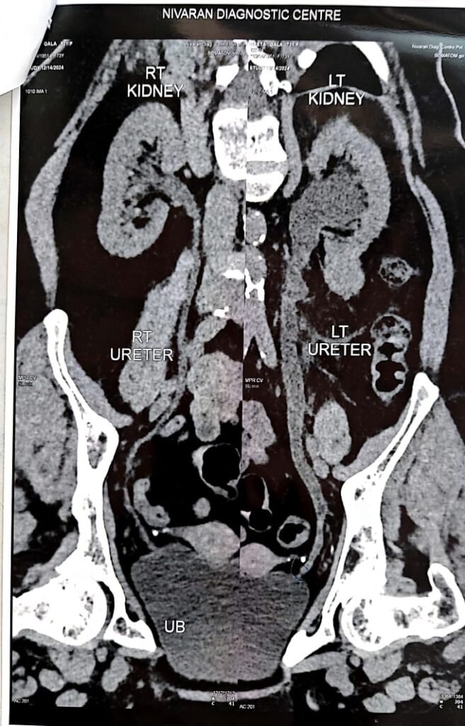
We combine Ayurvedic treatment with modern diagnostics:
Facing urine flow obstruction or kidney-related discomfort?
Choose a natural and safe solution.
📞 Book your consultation today
📍 Visit Kahalekar Urology Care, Nanded



Choosing the right medical expert is essential for accurate diagnosis and successful long-term recovery. Our doctor is dedicated to providing patient-centered care with a deep understanding of urological conditions and their effective management. With extensive clinical experience, personalized treatment planning, and a compassionate approach, every patient receives care tailored to their individual health needs. The focus goes beyond simply relieving symptoms—emphasizing the identification and treatment of the root cause to ensure safe, effective, and lasting results for better urinary health.
Dr. Sunil Kahalekar is a highly experienced Ayurvedic urology specialist with more than 25 years of clinical expertise in treating complex urinary and urological disorders through natural and holistic methods. He has successfully treated patients from Nanded, across India, and from several international locations, providing root-cause–based Ayurvedic care for conditions such as kidney stones, enlarged prostate (BPH), recurrent urinary tract infections, and urethral disorders.
His treatment philosophy combines accurate diagnosis with personalized herbal medicines, dietary guidance, and lifestyle correction to promote long-term healing. By focusing on restoring internal balance and strengthening urinary system function, Dr. Sunil Kahalekar has helped many patients achieve sustainable relief and, in many cases, avoid surgical intervention while regaining healthy urinary function and overall well-being.
If you are experiencing urinary problems such as kidney stones, prostate issues, urethral disorders, or other urological conditions, timely treatment is essential. At Kahalekar Urology Care – Ayurvedic Urology Specialist in Nanded, Dr. Sunil Kahalekar provides personalized, safe, and effective Ayurvedic treatment focused on addressing the root cause of the problem.
With a patient-centered approach and years of clinical expertise, Dr. Sunil Kahalekar offers natural, holistic, and result-oriented care designed to provide long-term relief and improve overall urinary health.