Case Report: Successful Ayurvedic Management of Ureteric Stricture Without Surgery

At Kahalekar Urology Care Hospital, Nanded, we recently managed a case of ureteric stricture (a condition where the urinary tube becomes narrow and blocks urine flow) — successfully without surgery.

👩‍⚕️ Patient Story
Age: 58 years
Gender: Female
Diagnosis: Ureteric Stricture
Initial Advice: Surgery was recommended by a urologist as the standard treatment.
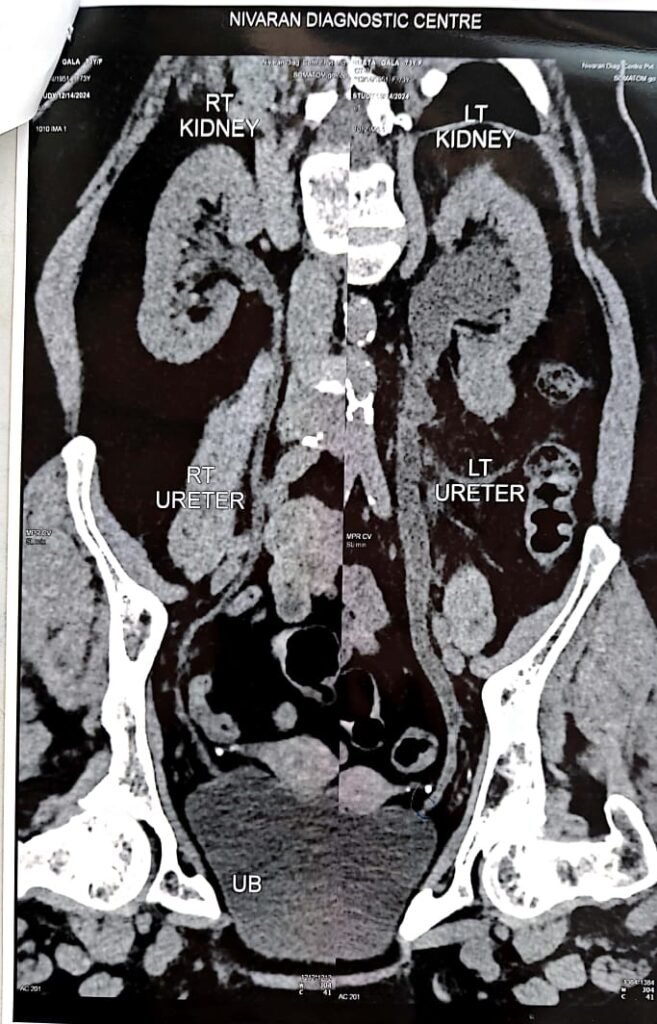
The patient was experiencing severe flank pain, urinary disturbances, and hydronephrosis (swelling of the kidney due to urine blockage). A CT Urogram confirmed narrowing of the ureter.

Presenting Problem

The patient presented with symptoms of flank pain, hydronephrosis, and urinary disturbances. Imaging (CT Urogram) confirmed the presence of a ureteric narrowing, leading to partial or complete obstruction.

Ayurvedic Approach at Kahalekar Urology Care

Instead of surgery, the patient opted for Ayurvedic treatment under the care of Dr. Sunil Kahalekar (MD Ayurveda).
Our treatment protocol was research-based and customized, focusing on:
✅ Improving urinary tract health
✅ Reducing fibrosis (scarring)
✅ Restoring ureteric patency (normal urine flow)
✅ Balancing doshas and reducing inflammation
✅ Strengthening urinary pathways naturally
No surgery or invasive procedure was performed.

Recovery and Results

The patient’s symptoms gradually improved within 9 months.
Follow-up imaging showed significant improvement in the ureteric stricture.
No side effects were reported during the course of treatment.
The patient successfully avoided surgery and regained normal urinary function.

Conclusion

This case highlights the potential of Ayurveda as a non-invasive alternative for the management of ureteric stricture. A research-based Ayurvedic protocol not only provided symptom relief but also improved structural pathology without surgical intervention.
These findings suggest that Ayurveda can be considered a viable option in selected patients. Further clinical studies and standardized protocols are recommended to establish broader evidence for such treatments.

📍 Contact Us

Dr. Sunil Kahalekar, MD (Ayurveda)
Founder – Kahalekar Urology Care Hospital
Doctor Lane, Nanded
📞 9422188788

Ayurveda #UretericStricture #AyurvedicTreatment #Nanded #ReadycureAyurveda #DrSunilKahalekar

सर्जरीशिवाय यशस्वी आयुर्वेदिक उपचार – मूत्रवाहिनीतील अरुंदी (Ureteric Stricture)

रेडीक्युअर आयुर्वेद हॉस्पिटल, नांदेड येथे आम्ही अलीकडेच एका रुग्णाचा मूत्रवाहिनीतील अरुंदी (Ureteric Stricture) हा आजार पूर्णपणे आयुर्वेदिक उपचारांनी व सर्जरीशिवाय यशस्वीरीत्या व्यवस्थापित केला.

👩‍⚕️ रुग्णाची माहिती
वय: 58 वर्षे
लिंग: महिला
निदान: मूत्रवाहिनीतील अरुंदी (Ureteric Stricture)
प्रारंभीचा सल्ला: युरोलॉजिस्ट डॉक्टरांनी सर्जरी करण्याचा सल्ला दिला होता.
रुग्णाला कंबरदुखी, लघवीचे त्रास, व मूत्रपिंड सुजणे (Hydronephrosis) अशी गंभीर लक्षणे होती. CT Urogram तपासणीत मूत्रवाहिनीतील अरुंदी निश्चित झाली.

रेडीक्युअर आयुर्वेद मधील उपचार

सर्जरी न करता रुग्णाने आयुर्वेदिक उपचार स्वीकारले.
डॉ. सुनील काहळेकर (MD आयुर्वेद) यांच्या मार्गदर्शनाखाली संशोधनाधारित औषधोपचार पद्धत वापरली गेली.
उपचाराचे मुख्य उद्दिष्ट:
✅ मूत्रमार्गाचे आरोग्य सुधारवणे
✅ ऊतींतील घट्टपणा (Fibrosis) कमी करणे
✅ मूत्रप्रवाह पूर्ववत करणे
✅ दोष संतुलन व सूज कमी करणे
✅ मूत्रमार्ग बळकट करणे

उपचाराचा परिणाम

९ महिन्यांत हळूहळू लक्षणांमध्ये सुधारणा झाली.
पुनः तपासणीत मूत्रवाहिनीतील अरुंदी मोठ्या प्रमाणात कमी झाल्याचे दिसले.
उपचारादरम्यान कोणतेही दुष्परिणाम झाले नाहीत.
रुग्णाने सर्जरी टाळली आणि पूर्णपणे बरी झाली.

निष्कर्ष

हा अनुभव दर्शवतो की निवडक प्रकरणांमध्ये आयुर्वेदिक उपचार सर्जरीला पर्याय ठरू शकतात.
रेडीक्युअर आयुर्वेद हॉस्पिटलमध्ये आम्ही मूत्रविकारांवर संशोधनाधारित, सुरक्षित व नैसर्गिक उपचार उपलब्ध करून देत आहोत.

📍 संपर्क
डॉ. सुनील काहळेकर, MD (आयुर्वेद)
रेडीक्युअर आयुर्वेद हॉस्पिटल
डॉक्टर लेन, नांदेड
📞 9422188788

आयुर्वेद #UretericStricture #आयुर्वेदिकउपचार #नांदेड #ReadycureAyurveda #DrSunilKahalekar

Why Choose Our Doctor?

Choosing the right medical expert is essential for accurate diagnosis and successful long-term recovery. Our doctor is dedicated to providing patient-centered care with a deep understanding of urological conditions and their effective management. With extensive clinical experience, personalized treatment planning, and a compassionate approach, every patient receives care tailored to their individual health needs. The focus goes beyond simply relieving symptoms—emphasizing the identification and treatment of the root cause to ensure safe, effective, and lasting results for better urinary health.

About Dr. Sunil Kahalekar – Ayurvedic Urology Expert

Dr. Sunil Kahalekar is a highly experienced Ayurvedic urology specialist with more than 25 years of clinical expertise in treating complex urinary and urological disorders through natural and holistic methods. He has successfully treated patients from Nanded, across India, and from several international locations, providing root-cause–based Ayurvedic care for conditions such as kidney stones, enlarged prostate (BPH), recurrent urinary tract infections, and urethral disorders.

His treatment philosophy combines accurate diagnosis with personalized herbal medicines, dietary guidance, and lifestyle correction to promote long-term healing. By focusing on restoring internal balance and strengthening urinary system function, Dr. Sunil Kahalekar has helped many patients achieve sustainable relief and, in many cases, avoid surgical intervention while regaining healthy urinary function and overall well-being.

Get Expert Urology Care from Dr. Sunil Kahalekar

If you are experiencing urinary problems such as kidney stones, prostate issues, urethral disorders, or other urological conditions, timely treatment is essential. At Kahalekar Urology Care – Ayurvedic Urology Specialist in Nanded, Dr. Sunil Kahalekar provides personalized, safe, and effective Ayurvedic treatment focused on addressing the root cause of the problem.

With a patient-centered approach and years of clinical expertise, Dr. Sunil Kahalekar offers natural, holistic, and result-oriented care designed to provide long-term relief and improve overall urinary health.

Primary Colors